| Search | Refresh |
|
Urology News
@Uro_News
|
6h |
|
Given the increased and widespread use of imaging the majority of renal tumours are incidental findings and are small in size #Urology pic.twitter.com/hCqE3RYPu1
|
||
|
||
|
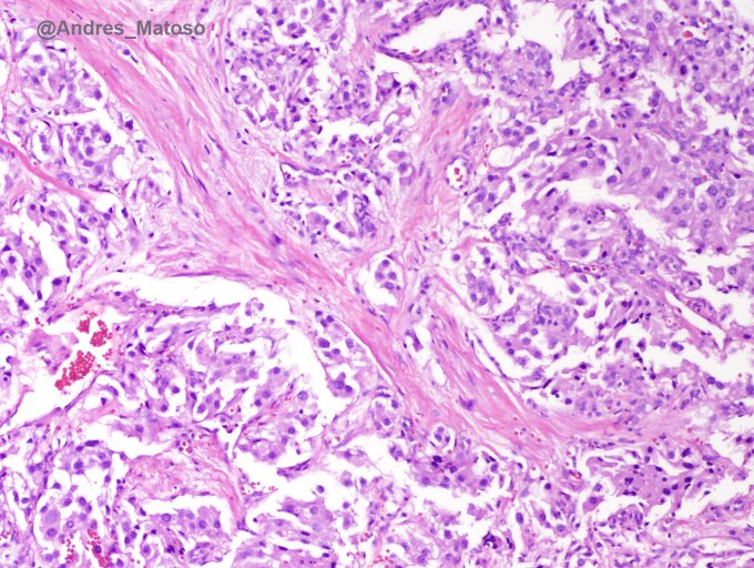
Andres Matoso
@Andres_Matoso
|
Jul 20 |
|
Not every tumor in the detrusor is urothelial carcinoma. Here is a nice example of paraganglioma. Look SDH! #GUpath #pathology #urology pic.twitter.com/sn6bpdkD3T
|
||
|
||
|
Nariman Gadzhiev
@Urologeman
|
Jul 19 |
|
Second look nephroscopy without anesthesia. SF provided. #pcnl #pnl #residual #urology #endourology pic.twitter.com/jvVsTpShQJ
|
||
|
|
||
|
Miami Urology
@miami_urology
|
22h |
|
|
||
|
||
|
|
Urology News
@Urology_Bio
|
15m |
|
#urology Canada General Surgery Outlook to 2023 Airway Stenting Procedures Bariatric Surgery Procedures Biopsy… bioportfol.io/PYB5FX
|
||
|
|
||
|
GreaterBostonUrology
@GBUrology
|
3h |
|
Learn more about the people behind the scenes at GBU. ow.ly/Wc9830cOy4B #urology
|
||
|
|
||
|
USONV
@USONV
|
4h |
|
Here's why you need to show your pelvic floor some love (yes, really):
rd.com/health/wellnes… #womenshealth #urology pic.twitter.com/5XWqdj9ors
|
||
|
||
|
MNT Urology
@mnt_urology
|
5h |
|
|
||
|
||
|
Urology News
@Uro_News
|
8h |
|
Overview of partial #nephrectomy techniques: influence of technology goo.gl/RnTsmK
#UroNews #Urology #MensHealth pic.twitter.com/TgxZuylDmI
|
||
|
||
|
Urology Practice
@UrologyPractice
|
8h |
|
#Urology workforce in America: A study on procedural care in rural outreach clinics. ow.ly/olUr30cUc2D pic.twitter.com/Iz6ofso0S8
|
||
|
||
|
European Urology
@EUplatinum
|
10h |
|
There's still time to complete July's CME questions: buff.ly/2uaRe6S #urology pic.twitter.com/NMkNGEDCfU
|
||
|
||
|
Lea Cottle
@CottleLea
|
12h |
|
Amazing prizes to be won #Masqueradeball #Urology #getyourtickets @RosemereCF @emmafitton74 @lisa18681759 @LancsHospitals pic.twitter.com/jI2TJYxQEo
|
||
|
||
|
U-drain
@udrainuk
|
13h |
|
@udrainuk #urology, #renal #PD & #Hospital systems
Simple #innovation that enhances #patients lives
@NHS_Innovation @GM_AHSN @StrokeAssocNW pic.twitter.com/TkeErarNai
|
||
|
|
||
|
EMJ Urology
@EMJUrology
|
Jul 23 |
|
#Vasectomy Poses Minimal Risk of #Prostate #Cancer. #Urology #oncology #health #research #news ow.ly/r0az30dMb9A pic.twitter.com/2bEUh6aC7n
|
||
|
||
|
Elsevier Oncology
@ELS_Oncology
|
Jul 22 |
|
#Urology RESOURCE CENTER provides up-to-date information on developments in the field of urological malignancies uroonco.com pic.twitter.com/dXA7kSjhdF
|
||
|
||
|
Talking Urology
@Talking_Urology
|
Jul 20 |
|
USANZ17 interviews are now up on the website.
International & local speakers #urology
#prostatecancer #podcast bit.ly/2qiMyvB pic.twitter.com/aEDWVjKiHU
|
||
|
||
|
Dornier MedTech
@DornierMedTech
|
Jul 20 |
|
Dornier #Delta III #Lithotripter hits #TimesSquare See how #lithotripsy #urology offering kills #kidneystones godornier.com/DornierDeltaII… pic.twitter.com/mpHD48LMHx
|
||
|
||
|
EAUYAUrologyTech
@EAU_YAUroTech
|
Jul 20 |
|
We are a team and friends! @d_veneziano @Uroweb @EAU_YAUroTech be ready for gettin' into the future of #urology twitter.com/jgomezrivas/st…
|
||
|
|
||
|
UofGLymphoedema
@UofGLymphoedema
|
Jul 20 |
|
LGUCQ self report tool 4 men, validated in Glasgow is now being evaluated in #lymphoedema #urology and #oncology across Wales @rhianlymph twitter.com/lymphschool/st…
|
||
|
|
||
|
Z Urology
@ZUrology
|
Jul 20 |
|
Did you know? @MikeZahalsky performed Broward County's 1st ever robotic surgery in #Urology.
bit.ly/29RZFe4 pic.twitter.com/MXVklnE3eO
|
||
|
||