| Tweets |
|
Radiopaedia.org
@Radiopaedia
|
47m |
|
Q: What is the name of this injury? ANSWER: goo.gl/FC7xJd #FOAMrad #FOAMed pic.twitter.com/v6UiwZnz2W
|
||
|
|
||
| Radiopaedia.org retweeted | ||
|
Frank Gaillard
@frankgaillard
|
Jul 20 |
|
It was great to talk to @rollcagemedic. Listen to this podcast about the origins and future of @Radiopaedia ! #FOAMed #radiology twitter.com/rollcagemedic/…
|
||
|
|
||
| Radiopaedia.org retweeted | ||
|
Radiology Signs
@RadiologySigns
|
13h |
|
Q: This fracture has a rather sporting name - what is it? ANSWER: goo.gl/7PJNs8 #FOAMrad #FOAMed pic.twitter.com/XFsOnh1kAs
|
||
|
|
||
|
Radiopaedia.org
@Radiopaedia
|
Jul 20 |
|
Q: Pathological fracture of the humerus in patient with what bone disease?
ANSWER: goo.gl/InTzeb #FOAMrad pic.twitter.com/KPapWax6GY
|
||
|
|
||
|
Radiopaedia.org
@Radiopaedia
|
Jul 20 |
|
This sign is a piece of pie. What is it? ANSWER: goo.gl/BAPkWX fb.me/xtctL7HU
|
||
|
|
||
|
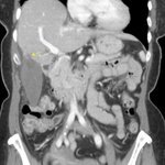
Radiopaedia.org
@Radiopaedia
|
Jul 19 |
|
Q: 70yo F with 2 days right abdo pain. Rare and amazing diagnosis? ANSWER: goo.gl/E1KXa3 #FOAMrad #FOAMed pic.twitter.com/njtpGiaPtl
|
||
|
|
||
| Radiopaedia.org retweeted | ||
|
Vikas Shah
@DrVikasShah
|
Jul 17 |
|
Involved in the care of patients with acute abdominal pathology?
Come to our @Radiopaedia course!
Book now at bit.ly/abdorad pic.twitter.com/kbL3qbjKaW
|
||
|
|
||
|
Radiopaedia.org
@Radiopaedia
|
Jul 18 |
|
Q: Headaches in a patient previously treated for liver infection. Diagnosis? ANSWER: goo.gl/9wzQsU #FOAMed pic.twitter.com/VbRo2QQYC3
|
||
|
|
||
| Radiopaedia.org retweeted | ||
|
Radiology Signs
@RadiologySigns
|
Jul 17 |
|
Q: Spot diagnosis - what is the pathology? ANSWER: goo.gl/XKSEYA #FOAMrad #FOAMed pic.twitter.com/Nx7HUNfNSz
|
||
|
|
||
|
Radiopaedia.org
@Radiopaedia
|
Jul 17 |
|
|
||
|
|
||
| Radiopaedia.org retweeted | ||
|
Dr Andrew Dixon
@DrAndrewDixon
|
Jul 17 |
|
I've had to cut brachial plexus from Sat's anat course but this slide was too cute not to share! #FOAMed #RadAnatomy radiopaedia.org/articles/brach… pic.twitter.com/BStStbFuGE
|
||
|
|
||
|
Radiopaedia.org
@Radiopaedia
|
Jul 16 |
|
If you saw this on a CT should you call someone? Why? ANSWER: goo.gl/xRWe4K fb.me/3VrmY2qkN
|
||
|
|
||
|
Radiopaedia.org
@Radiopaedia
|
Jul 16 |
|
Q: 46 year old with ankle pain. Diagnosis? ANSWER: goo.gl/yhjJ0p #FOAMrad #FOAMed pic.twitter.com/wwcdb4z14T
|
||
|
|
||
| Radiopaedia.org retweeted | ||
|
Andrew Murphy
@murf1990
|
Jul 15 |
|
For all our cricket fans we have an article just for you! goo.gl/2YyeZe pic.twitter.com/W8zCkUax2y
|
||
|
|
||
|
Radiopaedia.org
@Radiopaedia
|
Jul 15 |
|
Q: What is this important anatomical variant? ANSWER: goo.gl/5JMgkL #FOAMrad #FOAMed pic.twitter.com/ZBvVd4NfEy
|
||
|
|
||
| Radiopaedia.org retweeted | ||
|
Radiology Signs
@RadiologySigns
|
Jul 14 |
|
Q: What sign is shown here? Diagnosis? ANSWER: goo.gl/vWLQnm #FOAMrad #FOAMed pic.twitter.com/TzuwZ4K7UY
|
||
|
|
||
|
Radiopaedia.org
@Radiopaedia
|
Jul 14 |
|
Q: 38 year old patient with shoulder pain. Cause? ANSWER: goo.gl/Kksp5f #FOAMrad #FOAMed pic.twitter.com/yS4jaY05AA
|
||
|
|
||
| Radiopaedia.org retweeted | ||
|
Craig Hacking
@drcraighacking
|
Jul 12 |
|
Great new @radiopaedia CT case with coloured lung segments by Pete Jenvey: bit.ly/2ubtGRO Will be used in #radanat course next wk!
|
||
|
|
||
|
Radiopaedia.org
@Radiopaedia
|
Jul 13 |
|
What sign is illustrated on this classic radiograph? ANSWER: goo.gl/chyJMT fb.me/1GZcnFAjd
|
||
|
|
||
| Radiopaedia.org retweeted | ||
|
Radiology Signs
@RadiologySigns
|
Jul 13 |
|
Q: Can you name the disease and the sign? ANSWER: goo.gl/iOIXNe #FOAMrad #FOAMed pic.twitter.com/hvzCE6F7UY
|
||
|
|
||