| Pretraživanje | Osvježi |
|
Monica Sheth, MD
@MonicaSheth
|
9 min |
|
Determine which #radiology organizations to join? Pick those that:
✅ ⬆️ professional knowledge
✅ advocates 4 profession & patients
✅ expand network
✅ expand skill set
Not sure? If you’re a trainee take advantage of free or ⬇️ membership to many organizations #radres twitter.com/aawr_org/statu…
|
||
|
|
||
|
Elliot K. Fishman, CTisus.com
@ctisus
|
19 min |
|
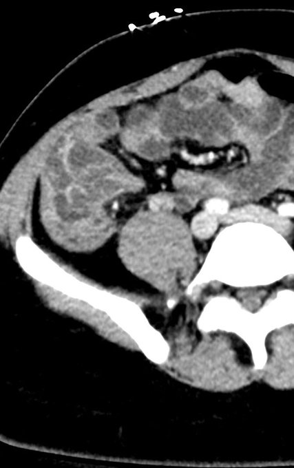
The mass in this 30ish year old female in the ER post trauma is? #RadRes #MedTwitter #FOAMed #FOAMrad pic.twitter.com/3miaLNbQj6
|
||
|
|
||
|
Monica Sheth, MD
@MonicaSheth
|
33 min |
|
We are lucky to have committed #radres members & leaders within @NYSRSociety. One of our biggest strengths!
|
||
|
|
||
|
Courtney Dey, MD
@CourtneyBDey
|
1 h |
|
@EVMSrad #radres are representing up in #richmond for #lobbyday2020 @EmilyGlavich @GarrisonGlavich @HarrisonKlause @MRetrouvey @VCRadRes pic.twitter.com/PmX3drT79F
|
||
|
||
|
Nathan R. DO, MBA
@RadRural
|
2 h |
|
Real time bullet migration! Taken about an hour apart. Fragment sandwiched between visceral and parietal pleura with subsequent migration. Clinically stable until intervention. #radiology #ct #trauma #chest #radres pic.twitter.com/Jc9XDlNJnT
|
||
|
||
|
CooperRadResidency
@RadResidency
|
2 h |
|
What’s going on with the cecum in this 30yo woman with AML, hematochezia and melena and neutropenia? Last image from prior study for comparison #meded @cooperradresidency @CooperGME @CooperHospital @cbmandepi #medtwitter #radres pic.twitter.com/URf8O0kBtc
|
||
|
||
|
Alison Partin
@AlisonRadEvents
|
2 h |
|
Hey #radres and #radfellows! Radiology Partners is coming to Atlanta on 2/20 for a fun night of food, drinks, and conversation at Topgolf! @EmoryRadiology pic.twitter.com/LNiQblPSw2
|
||
|
||
|
ACR Radiology
@RadiologyACR
|
2 h |
|
That's great! We're glad you and your #RadRes found it helpful. Thanks for prioritizing well-being! @ACRRFS twitter.com/MatthewAHaberM…
|
||
|
|
||
|
Judy Gadde, DO, MBA
@JudyGadde
|
3 h |
|
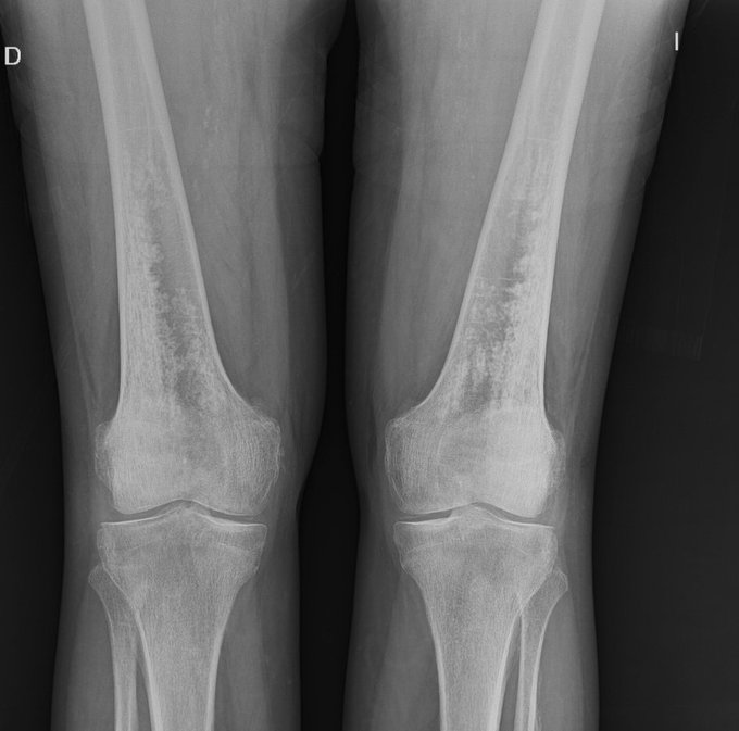
Emory Peds Neuro Case #96
History: Female teenager with blurry vision and urinary incontinence
*No answers or spoilers. Appropriate GIFs only.
#EmoryPedsNeuro #RadRes #MedEd #medtwitter pic.twitter.com/UFJ2l1IDTw
|
||
|
||
|
Ahmed "Zuka" Amer
@AhmedMAmer12
|
4 h |
|
had to flip the CT image on PACS to match Master James Hetfield iconic electric guitar during live performance in Seattle 1989. Moral of the story: Don't forget to look for lead points in cases with intussusception. #radres #Icanspellintussusception. Oh hi @Metallica ! pic.twitter.com/meg01YX724
|
||
|
||
|
Gotzon Iglesias H
@gotzon_i
|
5 h |
|
|
||
|
||
|
M VENKATESH, MD DNB,EDiR
@drvenkimdrd
|
5 h |
|
Happy to share my classic case at AJNR CLASSIC CASE ARCHIVE . #ajnr #Radres #FOAMrad #FOAMed #radiology #neurorad pic.twitter.com/ExTHTCz6tq
|
||
|
||
|
Ra'ana kanwal
@Raanaism
|
12 h |
|
|
||
|
||
|
Ra'ana kanwal
@Raanaism
|
12 h |
|
Defending cases in post call moron state.
#ResidencyLife #RadRes
|
||
|
|
||
|
Cynthia Xin Wu
@CynXinWu
|
18 h |
|
So much fun! Thanks for inviting us faculty! And I can't move my arms. #wellness #radres twitter.com/chrisho_md/sta…
|
||
|
|
||
|
Eric Pepin MD PhD
@ericwpepin
|
24 h |
|
#StrangeReasonsToCallOutSick is trending so pre-Core #radres should definitely NOT get on Twitter for inspiration.
|
||
|
|
||
|
Laura Bassett Madsen, MD, MSc
@LauraMadsenMD
|
4. velj |
|
Calling all #RadRes! Now is the time to consider volunteering for @ACRRFS leadership! Hope you will consider joining the team! @tareher @radwinsok @monicajwood @DoubledocJB @danortizmd @PBalthazarMD @RobertPengMD @NatashaMongaMD @SarvPourjabbar @annalaucis twitter.com/herseherself/s…
|
||
|
|
||
|
Carrie Norris
@CarrieDNorrisMD
|
3. velj |
|
It’s my last overnight shift as a resident.
What’s the thing I’m most excited about?
The prospect of never having to staff another portable chest X-ray.
#RadRes @IURadiology pic.twitter.com/Ar5BUqvUng
|
||
|
|
||
|
Massachusets Radiological Society RFS
@MRSRFS
|
3. velj |
|
Attention Massachusetts #radres. The MRS annual meeting this year will feature a special career panel session for trainees! pic.twitter.com/QO7kCJRcKZ
|
||
|
||
|
Yasha Gupta, MD
@yashaguptamd
|
31. sij |
|
When you’re starting to get list anxiety and then find out you don’t have to read the inpatients😅 #RadRes pic.twitter.com/IHD660WV7H
|
||
|
|
||