| Pretraživanje | Osvježi |
|
Melanie Bourgeau, MD
@MELanocyteMD
|
27. sij |
|
1/10
Welcome to my first #pathtweetorial! 🧠🤯
I was recently gifted a lovely section of adrenal gland, so I figured: why not use it to make a guide to the kidney's most stylish (& functional) accessory?
#pathology #endopath #meded #beautyinthebenign #onepathboardpointatatime pic.twitter.com/NqC2WrrDkw
|
||
|
||
|
Jonathan Ryder, MD
@JonathanRyderMD
|
1. velj |
|
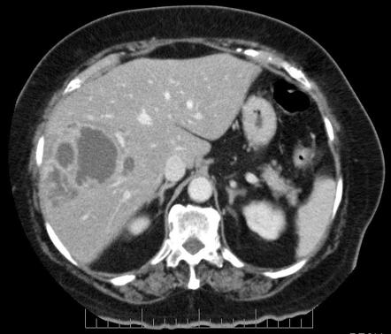
1/ Let's differentiate pyogenic from amebic liver abscess in a #Tweetorial today. We will examine DDx, risk factors, microbiology, clinical features, diagnostics, and treatment. This came from my most recent morning report. #IDTwitter #LiverTwitter #MedEd pic.twitter.com/IOZk3j1wht
|
||
|
||
|
Manual Of Medicine
@ManualOMedicine
|
1. velj |
|
|
||
|
||
|
Manual Of Medicine
@ManualOMedicine
|
28. sij |
|
Common Medications Known to Prolong QTc . #meded #foamed #medtwitter #medicine pic.twitter.com/A6AHZc3h5z
|
||
|
||
|
Adam Vaughan
@AV_Medic
|
1. velj |
|
PSA exam on Monday - tell me a drug and a side effect it causes. I'll start: ACEI = dry cough
#medtwitter #MedEd
|
||
|
|
||
|
Manual Of Medicine
@ManualOMedicine
|
31. sij |
|
Factor VIII synthesis - Normal, Haemophilia A and Von Willebrand Disease . #meded #foamed #usmle #medtwitter pic.twitter.com/hVATeUNpDE
|
||
|
||
|
Jay Mohan, D.O. RPVI
@DrJayMohan
|
29. sij |
|
Great image of chest x-ray #anatomy. It amazes me how much imaging we do in #cardiology. Tip! To be a great #interventionalist you gotta master your anatomy and be a pro at imaging! Another amazing overlay by @TheRadiologyGuy ! #cardiotwitter #radiology #meded #foamed #imaging pic.twitter.com/LOmYNLM2aM
|
||
|
||
|
Manual Of Medicine
@ManualOMedicine
|
29. sij |
|
|
||
|
||
|
AHLAM_N
@DrAHLAMN1
|
5 h |
|
💡📝⚡️🌞👩🏻💻📚🌟 🧠 I II III MENINGIOMA I II III - My first [ #neuropath GIF ] 😅 - 🎯 #BrainTumor #PathBoards #pathology #patologia #pathresidents #neurooncology #pathart #pathclassic #meningioma #histopathology #pathclues #brain #neuro #pathtwitter #MedEd #neurosurgery pic.twitter.com/zhsSQVYanI
|
||
|
|
||
|
ACGME
@acgme
|
31. sij |
|
National Women Physicians Day is Monday, February 3. “I do not wish to give (women) a first place, still less a second one--but the complete freedom to take their true place, whatever it may be.” Elizabeth Blackwell 2/3/1821-5/31/1910 #MedEd #IamBlackwell #NWPD #ACGME pic.twitter.com/EHa3mVdzNR
|
||
|
||
|
NephroPOCUS
@NephroP
|
31. sij |
|
Interesting way of describing cardiac #POCUS : 5 Es
#MedEd #echofirst #IMPOCUS pic.twitter.com/pK3buJIvMe
|
||
|
||
|
Gavin Preston, M.D.
@GavinPrestonMD
|
2. velj |
|
Patients are not "customers." The word "patient" denotes their highly vulnerable position, and they need people totally dedicated to them.
#MedEd #ethics #healthcare
|
||
|
|
||
|
Ben Lovell
@DrBenLovell
|
28. sij |
|
Received this today.
This manuscript was rejected twice (once outright, once after a pretty visceral peer review) before being accepted by @MedEd_Journal
I almost binned it.
And now this ⬇️
So don’t give up on your work. Some people just don’t get it, but others will
#MedEd pic.twitter.com/I64CRNa3kd
|
||
|
||
Povezana pretraživanja
#foamed
|
Michelle Cohen
@DocMCohen
|
31. sij |
|
Unorthodox #MedEd opinion: it's completely possible to teach clinical skills to trainees WITHOUT debasing or humiliating them.
|
||
|
|
||
|
Las Vegas Nursing
@tmj_las_nursing
|
8 min |
|
Nervous to apply for a job like "RN I - MED SURG TOWER 4 - FT NIGHTS - DESERT SPRINGS" at Desert Springs Hospital Medical Center? Apply even if you're not a 100% match. You might be underestimating your value. Click the link in our bio for more info. #MedEd #Healthcare
|
||
|
|
||
|
Las Vegas Healthcare
@tmj_las_health
|
32 min |
|
Valley Health System Consolidated Services is hiring in Las Vegas, NV! Read about our latest Laboratory (LAB) job opening via the link in our bio: PHLEBOTOMIST-SHMC (PT Varied) VHS Consolidated #MedEd #Healthcare
|
||
|
|
||
|
TMJ-NV Health Jobs
@tmj_nv_health
|
47 min |
|
This Respiratory Therapist job might be a great fit for you. Click the link in our bio to see it and more. RESPIRATORY THERAPIST I (PD Varied) Centennial at Centennial Hills Hospital Medical Center #MedEd #Healthcare
|
||
|
|
||
|
Boone County Hosp
@BooneHospJobs
|
53 min |
|
Boone County Hospital is hiring. Can you recommend anyone for this job as a Home Care Aide - Home Care - Days - PRN? bit.ly/2uY7Yms #MedEd #Healthcare
|
||
|
|
||
|
IHSE McGill
@IHSE_McGill
|
54 min |
|
|
||
|
|
||
|
TMJ-NV Nursing Jobs
@tmj_nv_nursing
|
1 h |
|
Are you ready to have a rewarding career that also lets you pursue a vibrant life away from work? Join The Valley Health System team! Apply today: CLINICAL SUPERVISOR III ICU (FT Nights) Centennial in Las Vegas, NV bit.ly/36UgXlZ #MedEd #Healthcare
|
||
|
|
||